Как терпеть боль. Как научиться терпеть боль: практические рекомендации
- Как терпеть боль. Как научиться терпеть боль: практические рекомендации
- Как терпеть боль у стоматолога. Проявление мужества или глупости: можно ли терпеть зубную боль?
- Как отключить боль. Как снять боль, блокировать, избавиться от нее надолго, навсегда
- Как научиться терпеть моральную боль. Признаки наличия проблемы
Как терпеть боль. Как научиться терпеть боль: практические рекомендации
1. Расслабление. Не слишком сильную боль лучше переносить в состоянии расслабления. По мере нарастания болевых ощущений можно подключить напряжение исключительно силовых и боевых мышц, не диафрагму и воротниковую зону. Новую волну боли лучше переносить на выдохе.
2. Внимание. Следующий совет о том, как научиться терпеть боль, заключается в управлении вниманием. Здесь также важно учитывать характер боли: относительно слабую боль можно рассматривать, изучать, пытаться найти ей описание. С сильной болью такое не подействует – в данном случае необходимо отвлекаться. Для этого не концентрируйте внимание на чем-либо одном: постоянно быстро переводите взгляд в разные стороны, чтобы мозг был занят обработкой информации, поступающей от зрительных органов. А пока Вы сбиваете его с толку, Ваше сознание не концентрируется на боли. Еще одним способом снизить болевые ощущения является старое доброе перенесение боли: ущипните себя в другом месте, прикусите губу и т.д.
3. Терпеть боль после резкого удара, скажем, мизинцем об угол кровати, поможет крик и ругань. Кратковременный целебный эффект брани доказан достаточно давно.
4. Мотивация. Если Вы понимаете, зачем терпеть боль, Вам будет легче ее переносить.
5. Дыхание. Выше мы уже говорили о том, что самую интенсивную боль, например, при уколе, легче перенести на выдохе. Думайте о дыхании. Сконцентрируйтесь на нем: поддерживайте ритм дыхания, осознавайте вдохи и выдохи, которые Вы совершаете, чтобы отвлечься от болевых ощущений.
К советам, как научиться терпеть боль можно отнести и правильный настрой. Хотите Вы этого или нет, а боль неизбежна. Поэтому примите ее, думайте о том, что она скоро пройдет, представляйте, как с каждой секундой болевые ощущения становятся все менее выраженными.
Как терпеть боль у стоматолога. Проявление мужества или глупости: можно ли терпеть зубную боль?

Считается, что болезнь зубов приносит самые мучительные ощущения. Происходит это потому, что в зависимости от стадии запущенности болезни, с разной силой воспаляются нервные волокна.
Пациент лишается аппетита, сна , могут начаться психоэмоциональные приступы.
Не получив вовремя лечение, появляется риск не только заразить соседние с больным зубы, но и существенно ухудшить состояние своих внутренних органов.
внешние раздражители:
- температурные ;
- механические ;
- химические .
Справка! Эмаль здоровых зубов (в особенности с возрастом) может реагировать не только на резкий переход холодного и горячего , но и на перечную зубную пасту , или кислый цитрусовый сок.
Такая боль не должна вызывать опасений, для нее характерно резкое возникновение и быстрое утихание.
А вот ноющая, беспрерывная, провоцирующая мигрени и заставляющая мучиться от бессонниц боль — повод срочно посетить зубного врача.
Симптомы такой боли зачастую проявляются и на других органах:

- При кариесе средней степени запущенности , реакция на химические и температурные раздражители более затяжная и острая, но исчезает с устранением раздражителя.
Важно! Довольно часто боль в клыках можно спутать с реагированием эмали на внешние раздражители. Характер неприятных ощущений похож — острая и быстроутихающая боль.
- Глубокий кариес вызывает острое воспаление пульпы. Боль становится периодической и сильной. Проявляется она спонтанно и может не зависеть от внешних источников.
- Пульпит , так же как и глубокий кариес вызывает резкие болезненые ощущения. Со временем они не утихают, а только становятся более или менее выраженными. Резкие приступы возникают при прикусывании или жевании на больную сторону, также проявляется болезненная реакция на холод.
Внимание! Пульпит — болезнь, приносящая бессонницу, так как острота неприятных ощущений усиливается и не стихает по ночам. При этом часто могут возникать небольшие скачки температуры.
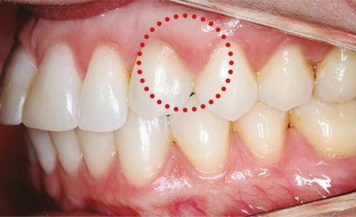
- Периодонтит , является причиной воспалённых лимфоузлов в области ушей и шеи. Иногда при особо выраженных приступах повышается температура тела в ночное время. В стадии хронического периодонтита частый симптом — ломота в зубах и челюсти.
Причины вышеперечисленных симптомов:
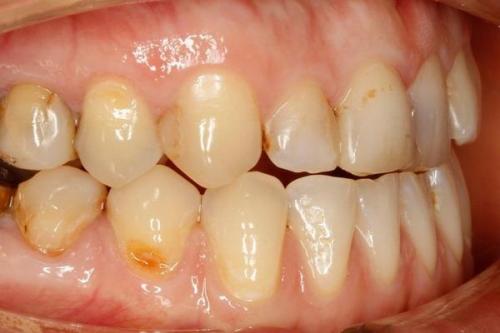
- Кариес . Самая популярная болезнь, вызванная вкусной пищей. Основная причина - употребление сахара и углеводов. После еды на эмали остаются микроорганизмы, которые создают налёт на зубах и приводят к постепенному разрушению. Со временем, когда все оболочки разрушаются, болезнь переходит в стадию пульпита.

Фото 1. Кариес на передних зубах может существенно испортить внешний вид улыбки человека.
- Пульпит . Происходит при попадании инфекции на мягкие ткани внутри зуба. Процесс воспаления может привести к гнойным скоплениям.
- Периодонтит . Следующая стадия разрушения зуба, начинается когда инфекция поражает самую глубокую ткань — периодонт.
- Абсцесс . Скопление гноя и полное разрушение зуба приводит к отёкам, инфекция проникает в дёсны.
Справка! Отек от абсцесса прогрессирует и переходит на все лицо. Это крайне опасное состояние, так как возможен летальный исход.
Температура у взрослого
Больные зубы при кариесе или начальном пульпите не приводят к повышению температуры. Если же появился жар более 37 градусов , это сигнал о начавшемся воспалении.
Состояние организма при зубных болях с высокой температурой делится на две группы .
Группа, в которую входят инфекции мягких тканей или самого зуба:

- Периодонтит — результат запущенного пульпита .
Группа с заболеваниями, при которых температура — основной симптом, болевой эффект является следствием повреждения нервов, а зубные ткани остаются неинфицированными
- Гайморит — ноющая боль в верхних коренных зубах.
- Невралгия — отдающая в зубы острая боль.
Важно ! При любом из этих заболеваний следует немедленно обратиться к врачу!
Острые, невыносимые болевые ощущения
Острая боль в зубах является следствием пульпита . Стрептококки, попадая в пульпу, из заражённой кариесом области выпускают большое количество токсинов. Боль при этом приступообразная, резкая. Носит непрерывный характер в вечернее и ночное время. Днём может вспыхнуть при приёмах пищи или других воздействиях на поражённый зуб.

Фото 2. Пульпит - тяжелая форма кариеса, которая сопровождается ноющей и самопроизвольной болью.
При периодонтите боль распространяется на область вокруг заражения и носит более интенсивный характер. Зуб может начать шататься, что приведет к ещё более острым приступам. Даже при слабом прикосновении, острые ощущения возникают мгновенно.
Пульсирующая припухлость с приступами ноющей боли вокруг — признак абсцесса .
Справка! Плохим сигналом считается, если болевой синдром исчезает при продолжающемся воспалении. Вероятнее всего, это начало осложнений, таких как флегмона или остеомиелит, вызванных отмиранием нервов.
Постоянно болит зуб, сколько может длиться
Ощущения при постоянных зубных болях ноющие, с временными острыми приступами. Боль при этом может сохраняться днями и даже неделями. Часто при непрерывной боли появляется ощущение, что зуб стал выше и шире по размерам.
Как отключить боль. Как снять боль, блокировать, избавиться от нее надолго, навсегда
Всех нас, так или иначе, поздно или рано посещают, мучают болезненные ощущения. А нельзя ли, а если можно, то, как снять боль , блокировать, избавиться от боли надолго, а лучше – навсегда?
Знания о природе боли
Специалист по болевым ощущениям доктор Майкл Московиц 49 лет, когда он с другом поднялся на танк перед парадом, и затем спрыгнул с башни танка, металлический штырь поймал его вельветовые брюки, и, когда он упал, он услышал три щелчка с треском его бедренной кости. Когда он ударился о землю, нога была под углом 90 градусов к другой.
Сразу после падения его боль была по шкале 10 из 10, но то, как он лежал неподвижно, ожидая скорой помощи, доктор Московиц не чувствовал болезненных страданий вообще.

Он наблюдал на себе медицинское явление, которому он учил своих учеников в течение многих лет, но никогда сам его не испытывал. «Мой мозг просто отключился от боли,» рассказывал он. Таким образом, это оказался его первый личный опыт, как научиться снять сильные болезненные ощущения, блокировать, избавиться от них надолго и естественным образом.
«Я получил опыт из первых рук, что мозг сам по себе, может устранить боль, так же, как я, обычный специалист по боли, пытался сделать это для пациентов с помощью лекарств, инъекций, и электрической стимуляции».
Мозг может закрыть болевые сигналы, потому что функцией острой боли является предупреждение нас об опасности. Таким образом, до тех пор, как д-р Московиц не двигался, он был не в опасности, поскольку его мозг и не должен был об этом сказать.
В период после несчастного случая, д-р Московиц чуть не умер три раза. Однако, по прошествии длительного времени, он постоянно ощущал очень небольшую боль в ноге, которую снять не удалось, и, тем более, избавиться от страданий.
Вместе с тем, на собственном опыте, он узнал еще один урок из области восприятия болезненных страданий: рациональное использование достаточного количества морфина помешало чрезмерно стимулировать его нервы и спасало его от острых краткосрочных болей, которые превращаются в постоянные и разнообразные, долговременные и хронические.
На протяжении веков стало понятным, что традиционный вид боли возникает и присутствует, когда нервы посылают в одну сторону сигнал в мозг с интенсивностью боли пропорциональной серьезности нашей травмы. Другими словами, облако сигналов дает точный отчет об ущербе для здоровья и о степени травмы, а роль мозга состоит в том, чтобы просто принять этот доклад.
Но это мнение было скорректировано в шестидесятые годы — теперь мы понимаем, что система восприятия болезненных ощущений распространяется через мозг и спинной мозг, мозг так же контролирует, насколько хорошо или плохо мы себя чувствуем. Когда сообщения боли передаются от поврежденной ткани, эти сообщения поднимаются к мозгу, только если мозг дает им на это «разрешение».
Если это «разрешение» дано, «ворота» откроются и чувство боли увеличивается, позволяя определенным клеткам мозга включить и передавать эти сигналы. Но мозг может также закрыть «ворота» и блокировать этот сигнал, выпустив эндорфины, естественные наркотики, сделанные нашими органами, чтобы подавить, снять, и хотя бы не надолго избавиться от боли.
Однако, знать, что существуют переключатели боли, и научиться их отключить — это одно, но вот, когда вы находитесь в агонии — это совсем другое.
Нейропластичность мозга к сигналам боли
Вот здесь в самый раз заговорить о «нейропластичности». Нейропластичность является способностью мозга менять свою структуру, в ответ на умственную деятельность и опыт.
Каждый раз, когда случается приступ, происходит визуализация хронической боли в мозге. Затем представление о проблемной области сокращается.
400 лет научное мировоззрение о мозге не менялось, считалось, что мозг остается неизменным после достижения нами совершеннолетия. ( Далее, перейти на следующую страницу, нумерация — ниже )
Добавьте статью в закладки, чтобы вновь вернуться к ней, нажав кнопки Ctrl+D . Подписку на уведомления о публикации новых статей можно осуществить через форму "Подписаться на этот сайт" в боковой колонке страницы.
Как научиться терпеть моральную боль. Признаки наличия проблемы
Людям свойственно по-разному относиться к проблемам и трагедиям, с которыми они сталкиваются в жизни. На одно событие два человека могут отреагировать противоположными эмоциями. Кто-то обрадуется, восприняв, как стимул двигаться дальше, другой погрузится в состояние печали. Зависит от темперамента, значимости происходящего и подготовленности к критическим ситуациям.
Часто люди скрывают свои душевные переживания от окружающих, со стороны страдания незаметны. На самом деле состояние характеризуется признаками:
- Отсутствует желание разговаривать, даже выходить из дома. Хочется сидеть в тишине и темноте, погрузившись в свою печаль. Все вокруг кажется враждебным и неспособным приносить радость и счастье. Отсюда может появиться чувство тревоги, как один из аспектов состояния;
- Происходят физические изменения. Могут беспокоить сильные головные боли, скачки давления, неприятные ощущения в области сердца;
- Одолевает чувство безысходности. Происходит разочарование, что приводит к грусти и тоске. Например, такое случается после расставания с любимым человеком. Кажется, что наступил конец жизни, и лучше уже никогда не будет. В таком состоянии люди часто перестают испытывать эмоции, замыкаются, что приводит к депрессии. Тогда многие пытаются заглушить грусть алкоголем, наркотиками, что только усугубляет состояние и ведет к проблемам со здоровьем.

Спасение от боли алкоголем
Если моральные мучения приводят к развитию тревожности, значит, причина душевной боли не была установлена и осмыслена. Когда человек пытается бороться только с симптомами, не прорабатывая ситуацию, выход из состояния затрудняется.